
Hong Kong’da bir hastaneye idrar akışında tıkanıklık şikayetiyle başvuran 84 yaşındaki bir adam, doktorları beklenmedik bir durumla karşı karşıya bıraktı. Yaşlı adamın cildi, gözleri ve tırnakları belirgin bir şekilde griye dönmüştü. Bu anormal renk değişikliği, tam beş yıl önce başlamıştı. Yapılan kan testleri, adamın vücudunda aşırı miktarda gümüş biriktiğini ortaya koydu. Normal seviyelerin tam 40 katı kadar yüksek gümüş konsantrasyonu, “arjiri” adı verilen nadir bir hastalığın işareti olarak tespit edildi.
Arjiri Nedir?
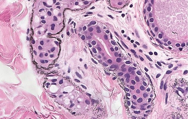
Arjiri, gümüşün ter bezleri, kan damarları ve deri liflerinde oksitlenerek küçük granüller halinde birikmesi sonucu cildin mat gri bir ton almasına neden olan bir hastalıktır. Genellikle, gümüş madenlerinde çalışanlar veya gümüş içeren ilaçları uzun süre kullanan bireylerde görülmektedir. Ancak, bu 84 yaşındaki hasta, geçmişinde böyle bir maruziyet olmadığını belirtmiştir. Yıllarca garson olarak görev yapan adamın iş yerinde veya ev ortamında gümüşle temas etme olasılığı da araştırmalar sonucunda bulunamamıştır.
Gümüş Vücutta Nasıl Etkiliyor?
Gümüş, genellikle solunum, cilt veya sindirim sistemi yoluyla vücuda girmektedir. Vücutta dolaşan bu metal, güneş ışığına maruz kaldığında gri veya mavi tonlar oluşturan kimyasal reaksiyonlara yol açmaktadır. Neyse ki, arjiri çoğu durumda ciddi sağlık sorunlarına neden olmamaktadır. Ancak, yüksek gümüş birikimleri bazı ilaçların emilimini engelleyebilir.
Tedavi Seçenekleri:
Adamın durumunun uzun vadede sağlığını ciddi şekilde etkilemesi beklenmemektedir; ancak kozmetik etkileri geri dönüşü olmayan bir nitelikte kalacaktır. Şu an için, gümüş birikimini vücuttan tamamen temizleyebilecek herhangi bir tedavi yöntemi mevcut değildir. Bu ilginç vaka, tıbbi kayıtlara nadir bir durum olarak geçmiştir. Hong Kong’daki doktorlar, bu gri cilt durumunun kaynağını tespit edememiş olsalar da, arjiri teşhisi sonrası hastayı düzenli olarak takip etmeyi planlamaktadırlar.
Bu dikkat çekici vaka, nadir görülen tıbbi durumlar arasında yer almakta ve arjiri’nin nedenlerini daha iyi anlamak için önemli bir fırsat sunmaktadır. Çalışma, The New England Journal of Medicine dergisinde yayımlanmıştır.
